Finas Laminas de Porcelana pegadas a la cara anterior de sus dientes.

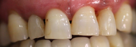
Otro caso de Carillas en una sola sesión. Se remueven multiples obturaciones (empastes) antiguos

Concertar una cita

Teléfono

+34 954900001

 

Correo electrónico

 

 

implantes@paloalto.cc

 

Dirección

 

DR. FERNANDO MILLAN

JESUS DEL GRAN PODER 24

41002 SEVILLA, ESPAÑA

 

Le invitamos a utilizar también nuestro formulario de contacto.

 

Horario

de Lunes a Jueves

 9:30 - 20:00 Horas

Viernes

 9:30 - 13:30 Horas

 

 

 

Novedades

Nueva presencia en Internet

Ahora también puede informarse sobre todas las prestaciones y servicios que nuestra clínica dental ofrece a través de Internet.

 

Todas las noticias

Versión para imprimir | Mapa del sitio
© DR. FERNANDO MILLAN

Página web creada con IONOS Mi Web.